Протезирование зубов в Минске
Павлющик Владимир Александрович
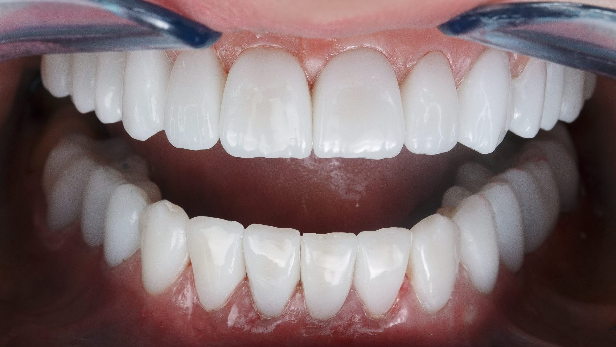
Функциональность и эстетика
В любой ситуации мы до последнего стараемся спасти зубы от удаления, ведь сохранение целостности зубного ряда – одна из главных задач современной стоматологии. Но, несмотря на все старания, возможность это сделать есть не всегда. Восстановить потерянные зубы в таких случаях нам помогают различные виды протезирования.
Сегодня мы имеем в распоряжении возможности, о которых многие годы назад и не мечтали. Современные цифровые технологии позволяют нам создавать идеальные коронки, которые точно вписываются в зубной ряд. Большой выбор материалов, широкое многообразие оттенков позволяют создавать искусственные зубы, которые абсолютно неотличимы от родных зубов.
Если вам необходимо протезирование зубов, приходите в нашу клинику – мы вернем эстетичность улыбки и восстановим жевательную функцию.
Методика протезирования зубов используется в стоматологии, когда нужно восстановить разрушенные или потерянные зубы, а также для улучшения эстетики имеющихся зубов.
Существует несколько разновидностей протезирования, отличающихся по своему назначению:
Эстетическое протезирование зубов
Основной целью данного вида протезирования является создание привлекательной и естественной улыбки с помощью придания зубам желаемой формы. В течение жизни вследствие разных причин внешний вид зубов может меняться не в лучшую сторону: стирания и сколы, потемнения после эндо-лечения, заметные пломбы. Независимо от причин эстетической неудовлетворённости решается проблема установкой на фронтальную группу зубов специальных коронок – керамических реставраций.
Соответствие внешнего вида новой улыбки ожиданиям пациента зависит от слаженной работы и профессионализма двух специалистов: стоматолога-ортопеда, работающего непосредственно с зубами; и зубного техника, изготавливающего коронки или виниры. Доктор вместе с техником проводит анализ фотографий, а также гипсовых или цифровых оттисков пациента, для понимания того, какие именно параметры эстетики утрачены. Затем на основе данного анализа с учетом личных пожеланий пациента создается модель его будущей преображенной улыбки. Далее зубной техник послойно создает индивидуальные керамические реставрации, которые полностью повторяют оптические качества красивых зубов. В зависимости от клинического случая это могут быть как коронки, так и менее травматичные частичные микропротезы, например виниры.
Керамические виниры
Надо отметить, что эстетические критерии у каждого человека свои: они меняется не только от пациента к пациенту, но и даже у одного и того же пациента в разном возрасте. И при планировании будущей улыбки крайне важно верно определить форму, цвет, прозрачность будущих керамических реставраций, чтобы окончательный результат получился таким, каким его желает пациент.
В нашей клинике используются цифровые технологии, помогающие проектировать будущую улыбку с учетом уникальных нюансов лица пациента. Это, например, ширина и высота улыбки, а также симметрия и форма лица. При проектировании красивых коронок и виниров наши специалисты смотрят не только на зубы — они учитывают картину в полном объеме.
Мы планируем высоту, ширину и форму зубов; высоту прикуса; прозрачность и оптические эффекты. В расчет берется даже возраст пациента и его образ жизни.
То, что гармонично смотрится у девушки, у мужчины среднего возраста может выглядеть неуместно. То, что эстетично смотрится на худощавом лице, не идет круглолицым людям с коренастым сложением.
Поэтому керамические реставрации – это не просто «установка коронок на передние зубы», это работа с имиджем пациента и тем, как окружающие будут воспринимать его через улыбку.
Наша клиника добилась в этой сфере значительных успехов, так как мы работали с разными пациентами. На консультации наши специалисты могут показать пациенту как может выглядеть его новая улыбка еще до начала лечения.

Эстетическое протезирование зубов молодых пациентов
В молодом возрасте часто бывают здоровые зубы, которые имеют небольшие эстетические изъяны, доставляющие психологический дискомфорт. Например, диастемы, тремы или просто неидеальная форма зубов. Эстетическое протезирование в таких случаях довольно кропотливое, так как важно верно удовлетворить ожидания пациента. Любые из этих изъянов, вызывающих недовольство, можно исправить максимально бережно, сохранив при этом максимальный объем зубных тканей пациента.
У нас большой опыт в протезировании зубов! Мы будем рады Вам помочь реализовать мечту о совершенной и здоровой улыбке.
Эстетическое и функциональное протезирование зубов взрослых пациентов
Существует широкая группа людей возрастом около сорока лет и старше, которые обращаются в нашу клинику одновременно за функциональным и эстетическим протезированием зубов. Стоматологи называют такое лечение тотальным протезированием. С возрастом стирается зубная эмаль, накапливаются визуальные следы лечения кариеса — все это можно исправить с помощью тотального протезирования всех зубов.
Если, например, установить коронку только на один жевательный зуб, то ее придется вписывать в заниженный прикус, который сформировался вследствие стирания зубов. То есть такое протезирование сразу будет в неоптимальном положении. То же справедливо и в отношении мостовидного протеза на нескольких зубах с одной стороны, потому что не допустимо делать отличающуюся высоту прикуса на разных сторонах челюсти.
Протезирование нужно одновременно делать на всех жевательных зубах с обеих сторон.
Оптимальным вариантом является одновременное тотальное протезирование всех зубов: и жевательных, которые отвечают за высоту прикуса; и передних, определяющих внешний вид улыбки. Еще один плюс тотального керамического протезирования всех зубов – это надежная защита от кариеса до конца жизни.

Тотальное протезирование также выполняется, когда у пациента есть очень объемные дефекты зубных рядов вплоть до полной адентии (отсутствие зубов). Существует большое количество клинических методов решения таких проблем: от традиционного съемного протезирования до несъемного протезирования с использованием различных современных натуральных и прочных материалов с опорой на 4, 6, 8 и более имплантатах. Способ тотального протезирования выбирается согласно клинической картине и ожиданиям пациента.
Независимо от вида дефекта чем раньше пациент принимает решение о лечении, тем более выгодной будет ситуация с точки зрения прогноза лечения и финансовых затрат. Записывайтесь к нам на консультацию по протезированию: мы спроектируем и продемонстрируем виртуальную модель ваших зубов, которая позволит вернуть правильное смыкание, высоту прикуса и эстетику улыбки. Наши специалисты будут рады помочь воплотить мечту о красивой и здоровой улыбке в жизнь.
Функциональное протезирование зубов
Из названия ясно, что основной целью данного вида протезирования является восстановление главной функции зубов – пережевывание пищи. Зубные ряды способны сохранять свою стабильность и функционировать. Но стоит потерять один зуб, и тут же стабильность нарушается. Когда зубы отсутствуют в течение долгого времени, происходит неизбежный процесс адаптации организма: это убыль костной ткани и десны, деформация зубного ряда в зоне дефекта из-за смещения оставшихся зубов. Поэтому условия для протезирования с течением времени становятся все более непростыми: усложняется в первую очередь хирургический этап установки имплантатов, так как хирургу придется больше работать над увеличением костной и десневой ткани. А также возникает необходимость пройти лечение у ортодонта, чтобы устранить произошедшие сдвиги (например, с помощью брекетов). Все это в свою очередь влияет на увеличение стоимости лечения.
В отношении одного утраченного зуба в стоматологии используется термин – включенный дефект. Зубы, окружающие данный дефект, смещаются в сторону пустующей зоны. Это можно увидеть на томограмме без специальной подготовки: наклоны соседних с дефектом зубов хорошо видны.
Еще более сложной задачей является установка коронок на имплантатах, если потеряны все жевательные зубы – в том числе самый дальний. В такой клинической ситуации используется термин – концевой дефект. Особенность данного дефекта в том, что происходит атрофия всего участка кости на всем его протяжении (по высоте и по ширине). Возникновение концевого дефекта более рискованно и помимо вышеупомянутых проблем при включенном дефекте, тут мы еще имеем ощутимую утрату жевательной эффективности, так как эти зубы берут на себя основную нагрузку по пережевыванию пищи. Кроме того, они обеспечивают стабильность положения нижней челюсти, создавая благоприятные условия для работы височно-нижнечелюстного сустава и большой группы мышц в этой зоне, поэтому утрата жевательных зубов может привести к развитию мышечных и суставных проблем.
Игнорирование ситуации со временем приведет к тому, что степень истончения кости сделает невозможным установку имплантата под коронку без наращивания утраченной костной ткани. Поэтому в случае наличия концевого дефекта упущенное время сильно усугубляет ситуацию. Чем раньше пациент примет решение о протезировании, тем выше вероятность, что ему удастся обойтись без сложной и дорогостоящей костной пластики.
Альтернативным вариантом протезирования жевательной группы зубов является частичный съемный протез. Такие ортопедические конструкции были популярны до развития протезирования на имплантатах. Для создания протезов использовались разные материалы и способы фиксации. В настоящее время частичное съемное протезирование используется намного реже. Данный вариант выбирают пациенты, которые имеют ограниченный бюджет либо у которых имеются противопоказания к имплантации (например, остеопороз или декомпенсированный диабет). Если данных ограничений нет, то оптимальным восстановлением жевательных зубов является протезирование на имплантатах. В нашей клинике можно воспользоваться банковской рассрочкой с фиксированной ценой и оптимальными ежемесячными платежами.
