Лечение пульпита и периодонтита
Лечение пульпита
Успешно лечим сложные случаи воспаления каналов благодаря хорошему оснащению и опыту докторов.
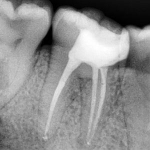
точное определение формы каналов
Высокоточный рентген показывает форму каналов и область воспаления
тщательная обработка каналов
Точное определение геометрии каналов и их качественная обработка
укрепление зуба стекловолокном
Создаем прочную основу внутри зуба
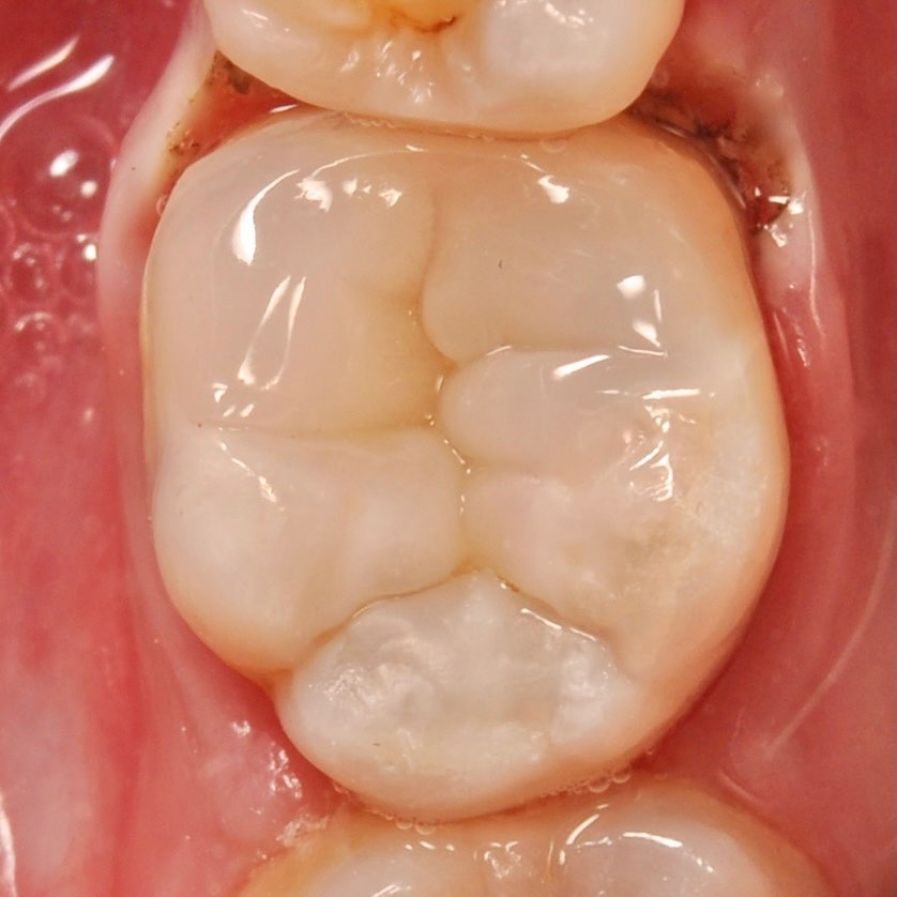
устанавливаем коронку на вылеченный зуб
Протезируем зуб, защищаем его от внешней среды
зуб с обработанными каналами
Лечения пульпита
Стоимость включает в себя все необходимые процедуры и материалы
стоматолог-терапевт
рентген
осмотр
анестезия
удаление кариеса
обработка каналов
укрепление зуба
контрольный рентген
определение цвета
премиальный материал
контроль прикуса
полировка
Гарантия
Устранить инфекцию - спасти зуб
Оба заболевания носят воспалительный характер и являются следствием нелеченого кариеса. Воспаление внутри зуба – далеко не редкое явление, его опасность в том, что оно оказывает разрушительное действие на кость и окружающие ткани. Кариес мы можем увидеть, а вот воспаление может протекать незаметно и развиваться безболезненно.
Если вовремя не диагностировать проблему и не провести лечение, это может привести к потере зуба, что в дальнейшем потребует восстановления костной ткани для имплантации. Мы имеем большой опыт в лечении каналов и добиваемся отличных результатов с помощью качественной механической и медикаментозной обработки, которая позволяет полностью устранить воспаление.
Благодаря современному оборудованию, качественным материалам, инструментарию мы добиваемся прекрасных результатов. Если вам необходимо лечение каналов и вы ищете специалиста, приходите в нашу клинику, мы поможем даже в сложном клиническом случае.
Романенко Марина Васильевна
Каналы наших зубов можно представить как дерево имеющее множество ответвлений. Задача врача провести их обработку сохранив ткани зуба.
стоматолог - терапевт
