Лечение кариеса в Минске
обязательная полная анестезия
Доктор наносит анестетик на место укола, это исключает неприятные ощущения от укола
превосходные материалы
Первоклассный композитный материал продлевает срок службы пломбы
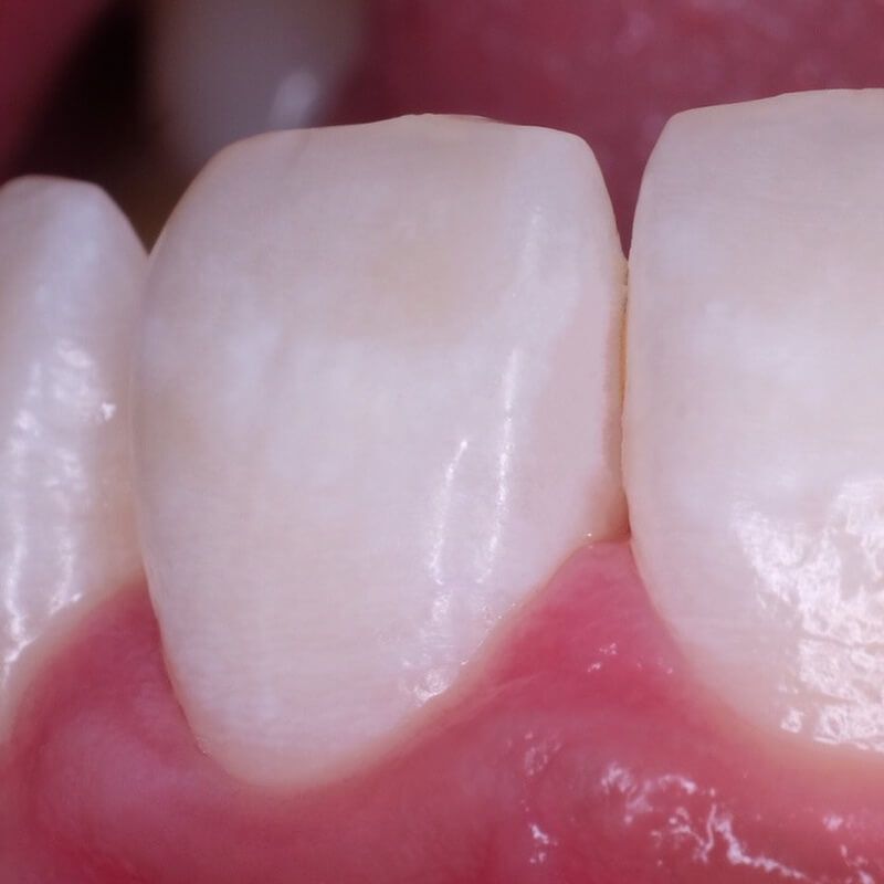
точное воссоздание анатомии зуба
Удаление пораженных кариесом тканей и воссоздание анатомически точной формы
эстетика и незаметность
Полировка добавляет пломбе эстетичный вид, делая её гладкой и незаметной
Вылечим кариес
красиво и комфортно
Работаем по европейским протоколам, материалами повышающими прочность и прилегание пломб, делая их более долговечными.
Лечения кариеса «под ключ»
Стоимость включает в себя все необходимые процедуры и материалы
стоматолог-терапевт
рентген
осмотр
анестезия
удаление кариеса
определение цвета
премиум материал
контроль прикуса
полировка
гарантия
Качественно, значит красиво и надолго
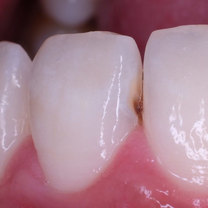
С кариесом рано или поздно сталкивается каждый человек, ведь это самая частая стоматологическая проблема. Даже самая крепкая эмаль может подвергнуться воздействию кариесогенных бактерий, поэтому развитие кариеса – лишь вопрос времени. Многим кажется, что лечение кариеса – простая процедура, но на самом деле это не так. Стоматологу-терапевту необходимо знать много тонкостей, которые отражаются на результате и долговечности лечения.
Пациент не может понять, насколько хорошо сделана работа, это будет заметно спустя годы. Многое зависит от профессионализма врача, его подхода к лечению. От того, как качественно были обработаны каналы, какие материалы использовались, как точно прилегает пломба к эмали, зависит срок ее службы.
В нашей клинике проводится точная диагностика, составляется план лечения, где указаны все необходимые манипуляции, поэтому в процессе лечения не возникает ситуаций, которые могут повысить его стоимость. Если вам необходимо лечение кариеса с долговечным и эстетичным результатом, то приходите в нашу клинику, мы сделаем все качественно и безболезненно.
Романенко Марина Васильевна
