Эстетическая реставрация зубов в Минске
Эстетическая реставрация
передних зубов
Исправляем недостатки передних зубов специальным композитом. Создаем красивые и долговечные эстетические реставрации.
Определяем будущую форму передних зубов
Проектируем красивый зубной ряд с оптимальной длиной и шириной зубов
Превосходный композитный материал
Особый композитный материал для эстетических реставраций
Точно воссоздаем форму зубов по силиконовой модели
Обрабатываем зубы, поэтопно наносим композит, создавая желаемую длинну и оттенок
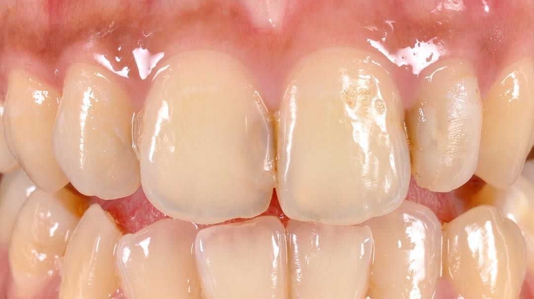
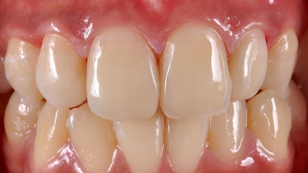
финальная полировка
Полируем композитные реставрации до гладкого и блестящего вида
В эстетическую реставрацию
передних зубов входит
Стоимость включает в себя все необходимые процедуры и материалы
стоматолог-терапевт
рентген
осмотр
анестезия
изоляция
подбор цвета
премиум материал
контроль прикуса
полировка
Гарантия
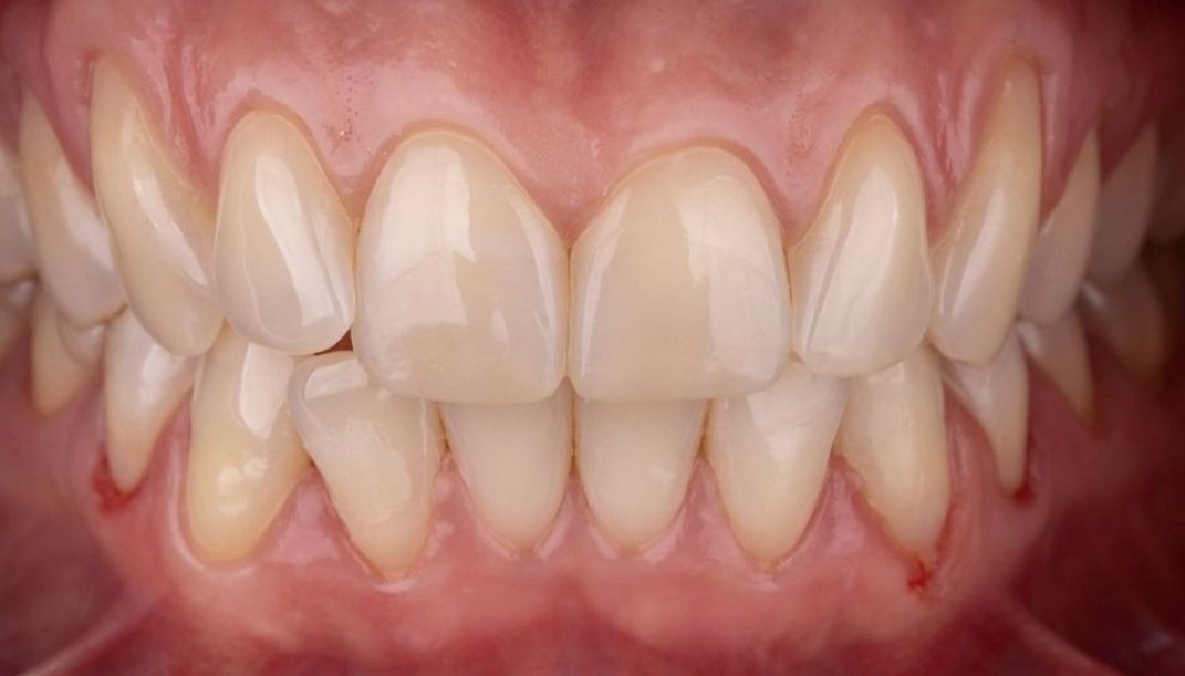
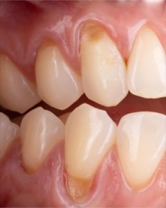
Красота и здоровье передних зубов
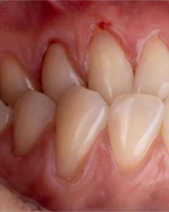
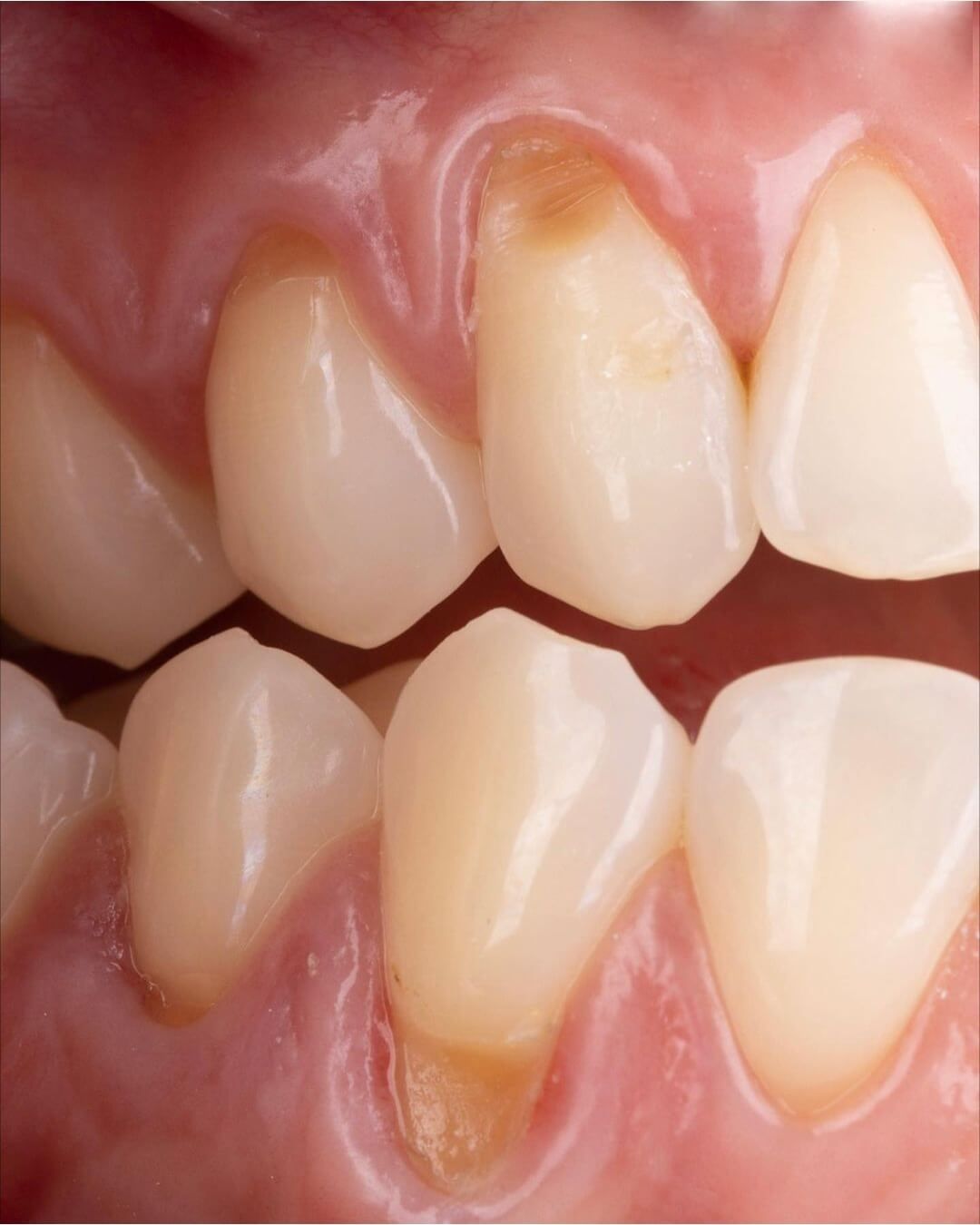
Белоснежные ровные зубы уже давно не являются прерогативой только известных людей, красивую безукоризненную улыбку может иметь любой человек. Со временем эмаль меняет свой цвет, начинает стираться, могут появиться сколы и другие проблемы, которые можно решить с помощью эстетической реставрации.
Мы можем изменить неправильную форму, ширину, длину зуба, неэстетичный цвет эмали с помощью виниров, композитов. Композитные материалы позволяют проводить реставрацию всего за один визит. Они очень удобны в работе, прекрасно имитируют природную эмаль и позволяют придать зубу необходимую форму. При необходимости за один день можно отреставрировать сразу несколько зубов.
В эстетической реставрации важно знать не только массу нюансов в восстановлении зубов, но и уметь работать как ювелир, чтобы добиться идеального результата. Мы используем в работе современное оборудование, качественные и надежные материалы и прикладываем максимум усилий, чтобы результат радовал пациента многие годы.
Романенко Марина Васильевна
