Исправление прикуса в Минске
Быкова Валерия Евгеньевна
Исправить прикус можно в любом возрасте
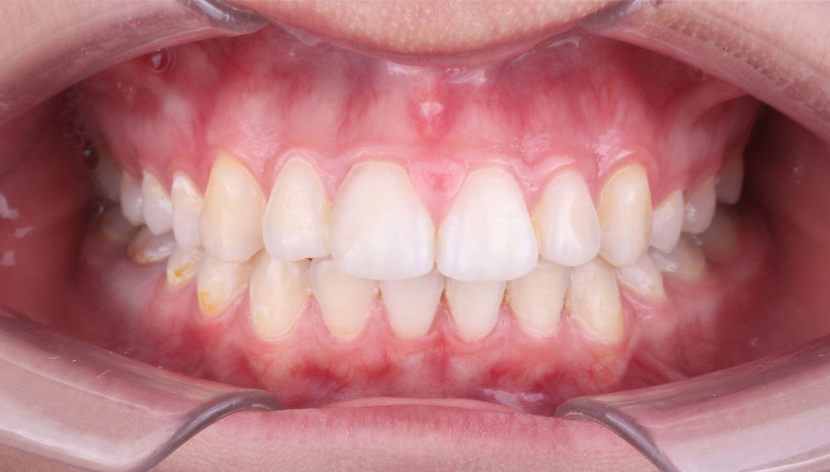
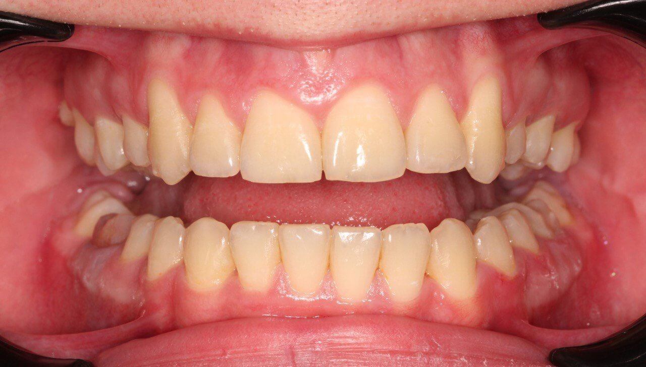
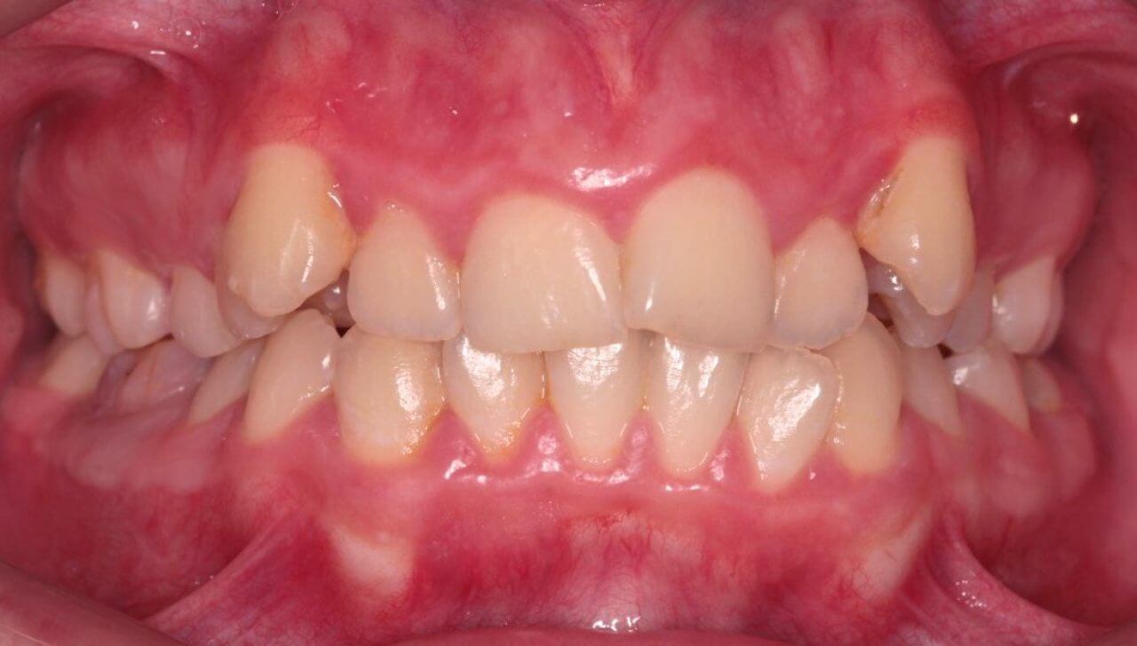
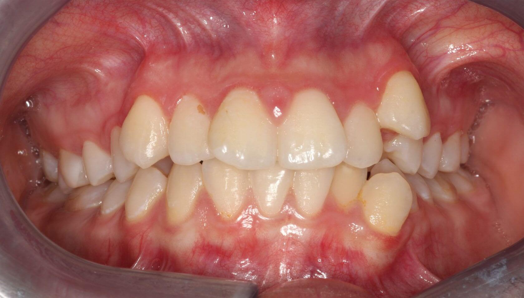
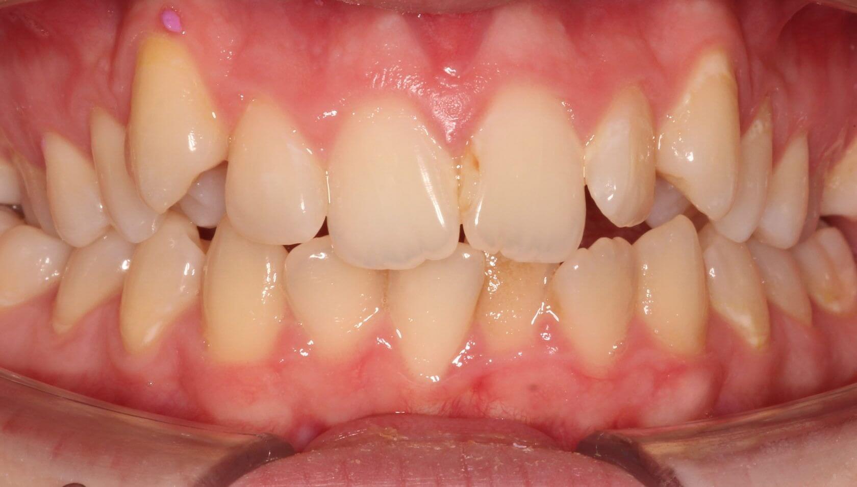
Неправильный прикус различной степени выраженности наблюдается у большинства людей. У некоторых он заметен невооруженным глазом, у других его можно определить только у ортодонта при осмотре.
Если зубы занимают неправильное положение, то это может создавать массу проблем: убыль костной ткани, быстрое стирание эмали, сколы, нарушение речи и многие другие.
Раньше считалось, что исправлять прикус можно только в детском возрасте, но современная ортодонтия с этим не согласна: решать проблемы с прикусом можно в любом возрасте, главное – терпение и соблюдение всех рекомендации врача.
Исходя из клинической ситуации, мы можем предложить различные варианты исправления прикуса: брекеты (классические металлические или эстетичные керамические), индивидуальные каппы (элайнеры), а также специальные ортодонтические аппараты.
Если вам необходима ортодонтическая коррекция, приходите на консультацию в нашу клинику. Мы проведем диагностику, расскажем о всех возможных вариантах исправления прикуса и подберем необходимую для вас конструкцию.
Показания к исправлению прикуса
неправильный прикус наносит вред здоровью
Данная аномалия приводит к неравномерному стиранию эмали, а зубы, находящиеся вне зубного ряда, получают окклюзионную травму.
У таких зубов происходит убыль десны и кости, в которой они удерживаются.
Конечно, компенсаторные механизмы нашего организма смягчают и частично компенсируют эти разрушительные процессы, но их хватает ненадолго.
Если Вы внимательно относитесь к своему здоровью, обратитесь к нам за анализом прикуса, и проверьте, не приводит ли текущее положение зубов к их травме и ранней потере зубов в будущем.
Прикус важно исправить,
в том числе
для восстановления естественных пропорций лица
Многие наши пациенты замечают положительные изменения во внешности в процессе ортодонтического лечения. Это закономерно и естественно, ведь зубы встают в нужное положение, правильно позиционируя нижнюю челюсть, и это, естественно, делает лицо более гармоничным.
Когда вы не замечаете проблем и откладываете исправление прикуса, вы запускаете целый ряд нежелательных процессов:
- Убыль и утончение дёсен
- Бактериальный налет на эмали зубов и, как следствие, кариес
- Травма височно-нижнечелюстного сустава
- Стираемость эмали, потеря высоты прикуса
- Самопроизвольное прикусывание щек
Исправлять прикус никогда не поздно!
Из-за того, что прикус обычно исправляют в подростковом возрасте, сложилось ошибочное мнение, что взрослым этим заниматься уже поздно.
И даже молодые люди сравнительно недавно стеснялись брекетов, как будто это что-то зазорное. Но все поменялось. Тренд на молодость, красоту и заботу о здоровье полностью изменил эти установки. И сейчас взрослый пациент для нас такая же норма, как молодой человек в период формирования зубочелюстной системы.
Элайнеры и брекеты — это стильный и современный символ вашего отношения к своему здоровью и красоте. Никогда не поздно получить красивый ровный зубной ряд.
Лигатурные и безлигатурные брекеты
Первые брекеты крепились к дуге металлической проволокой или эластичными резинками. Этот тип брекетов до сих пор представлен на рынке, но развитые клиники лигатурные брекеты или не используют, или применяют в отдельных случаях. На смену лигатурным брекетам первого поколения пришли новые, более удобные, гладкие и миниатюрные безлигатурные брекеты. В них уже встроены специальные замочки, в которых дуга находится более свободно и это позволяет реже обращаться к доктору за активацией.
Быкова Валерия Евгеньевна — врач ортодонт
Современное поколение брекетов — это брекеты со встроенной фиксацией дуги. Они удобнее в носке, а отсутствие резинок делает их более эстетичными и менее заметными. В целом это более удобный вариант исправления прикуса и для пациента, и для врача. Самолигирующие брекеты фиксируются на дуге более свободно, что позволяет им по ней перемещаться. Это значит, что пациенты посещают клинику намного реже для их корректировки и активации.
Современные самолигирующие брекеты, имеющие повышенный комфорт и эстетичный внешний вид, - это то, что мы применяем в лечении наших пациентов каждый день.
Вестибулярные брекеты
С фиксацией на внешней стороне зубов
Когда мы говорим о брекетах, то вспоминаем именно этот вид. Раньше они могли быть только из металла, но потом появились другие материалы, которые позволили выполнить брекеты белого или прозрачного цвета. И для многих, кто раньше откладывал исправление прикуса из-за эстетических моментов, появилась возможность провести ортодонтическое лечение.
Установка брекетов
Установка брекетов полностью безболезненна, мы не трогаем эмаль зубов, а только фиксируем на ней в заданном месте брекет.
Самым важным этапом в исправлении прикуса является этап установки брекетов. Именно его положение будет направлять будущее движение брекета во всех плоскостях. То есть не сам факт установки брекетов на зубах, а их положение относительно друг друга определяет успех ортодонтического лечения.
Керамические брекеты
Как можно быстро исправить прикус?
Самый заметный результат Вы увидите практически сразу — в первые недели-месяцы после фиксации брекетов или начала носки элайнеров. Но по-настоящему завершенным лечение можно считать только после того, как перестроятся все ткани вокруг зубов, а это зависит и от возможностей организма, и от объема перемещений. Если объем коррекции не большой, то мы можем уложиться в 14 месяцев. Когда мы двигаем много зубов, выравнивая их по всем плоскостям, то процесс пристраивания тканей торопить нельзя: важно соблюсти адекватный ритм для устойчивого результата и это может занять до двух лет.
Факторы, которые сказываются на продолжительности лечения:
- Возраст пациента – напрямую влияет на скорость формирования тканей вокруг нового положения зубов
- Исходное положения зубов – определяет объем перемещений
- Отсутствие зубов – приводит к необходимости исправлять смещение, произошедшее ввиду отсутствия зубов
- Состояние височно-нижнечелюстного сустава – тоже играет большую роль, так как на него ложится функция адаптации к новому положению и траекториям движений
На начальных этапах лечения Вы будете видеть буквально каждый день значительный прогресс. Ортодонтические брекеты или элайнеры вызывают заметное смещение зубов. Дуги, изготовленные из сплавов никеля и титана, после установки в брекеты обладают «памятью формы», которая всегда возвращается в исходное состояние, обеспечивая необходимое усилие для перехода зубов в анатомически верное положение. Раньше дуги регулировались каждые 3 недели, но теперь одной дуги хватает на 2-6 месяцев, что позволяет увеличить интервалы между визитами в клинику. Оптимальные результаты достигаются за счет постоянного низкого усилия, поэтому наши клиницисты начинают с дуг меньшего размера и постепенно увеличивают их размер. Каждая замена дуги может вызывать дискомфорт, особенно в первые дни. Длительность лечения варируется от 14 до 24 месяцев и более.
Быкова Валерия Евгеньевна — врач ортодонт
Радость от первых успехов
Глядя на свои зубы уже через 6 месяцев, Вам будет казаться, что все идеально ровно, и Вы добились желаемого. Однако Ваш организм обладает своими планами и к изменениям привыкает не так быстро. Требуется время, чтобы нормализовался наклон зубов и их невидимых корней. Перемещение зубов — это вызванная давлением управляемая травма, в процессе которой запускается процесс ремодуляции и создания новой кости вокруг нового положения.
Первые видимые движения зубов радуют наших пациентов, но настоящее лечение проходит незаметно внутри их зубочелюстной системы. И эти изменения нельзя ускорить или отменить. Отнеситесь к этому процессу филосовски, время идет на пользу, даже когда Вы этого не замечаете, ваш организм перестраивается и привыкает.
Основной этап исправления прикуса
Если Вы хотите лучше понимать алгоритм и этапы исправления прикуса, то их можно разделить на две части: первая – выравнивание зубов, и вторая – коррекция зубных рядов. Первая часть работы осуществляется в самом начале ортодонтического лечения и вызывает оптимизм из-за очевидного и заметного невооруженным взглядом движения зубов. Но основная работа по выравниванию всех зубных рядов проводится уже на втором этапе более жесткими дугами, которые можно применять только после того, как все зубы уже собраны в один ряд более мягкими дугами, прикладывающими дозированное усилие.
Жесткие дуги задают вектор не для отдельного зуба, а для группы зубов и смещает их в анатомически корректное положение для правильного совмещения точек контактов зубов верхней и нижней челюсти.
Нередко на фотографиях вы можете видеть цепочки, эластики и пружины. Эти элементы создают усилие на зубной ряд, перемещая группы зубов объединенных единой дугой.
Важно отметить, что многое в успехе и скорости лечения зависит от дисциплины пациента. Когда мы применяем съемные ортодонтические элементы, например эластики и резинки, очень важно соблюдать правила носки и следовать рекомендациям врача ортодонта. Это легко — достаточно просто помнить о времени их носки, что гарантирует правильную динамику лечения. Без этого ношение брекетов теряет смысл. Важно понимать, что ортодонтическое лечение — это совместные усилия и доктора, и пациента. И только объединение этих стараний приводит к желаемому стабильному результату: ровному положению зубов и красивой улыбке.
Долгожданное снятие брекетов!
Это знаменательный день для Вас, и для Вашего лечащего врача-ортодонта, прожившего вместе с Вами последние два года. Это радостный и волнительный момент, когда проведя языком, вы не почувствуете брекеты на зубах и увидите в зеркале результат ваших стараний. Мы в этот момент радуемся вместе с Вами.
Обычно окончание лечения проходит в два приема. На первом этапе мы открепляем брекеты от зубов и полируем эмаль. Это безболезненная, но довольно долгая процедура.
На втором этапе, возможно, мы наденем несъемный ретейнер на обратную сторону зубов. Он скрепляет зубы первое время после снятие брекетов и дуги и поддерживает их положение в стабильности. Возможно, мы передадим Вам капы для ночной носки.
Что, если исправление прикуса будет длится дольше?
Указанный в плане лечения и договоре срок отражает среднюю продолжительность лечения подобной ситуации. Важно не забывать об этом и ориентироваться на него в своих планах.
Многие пациенты стремятся снять брекеты раньше запланированного времени. Наша клиника подчеркивает важность реалистичных ожиданий и уделяет достаточно времени обсуждению всех важных вопросов на этапе консультации. Мы стремимся уложиться в согласованные сроки и считаем, что успешное лечение требует сотрудничества с обеих сторон, включая правильный уход за брекетами, регулярное посещение клиники, использование эластиков в соответствии с указаниями доктора и соблюдение правил гигиены. Если не будут предприняты надлежащие шаги, могут возникнуть задержки, но мы приложим все усилия для достижения наших целей в оговоренные сроки с наилучшими возможными результатами. Дополнительные несколько месяцев лечения быстро забудутся, но окончательный результат сохранится на всю жизнь.
Быкова Валерия Евгеньевна — врач ортодонт
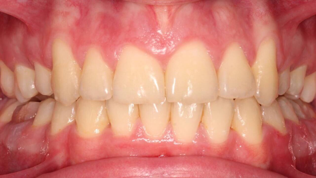
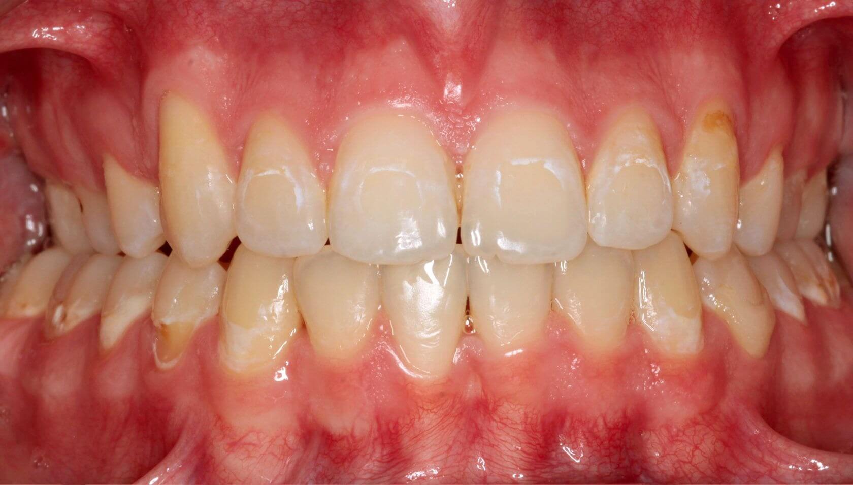
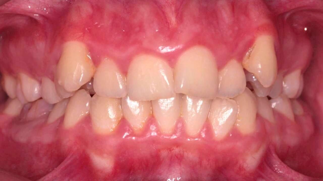
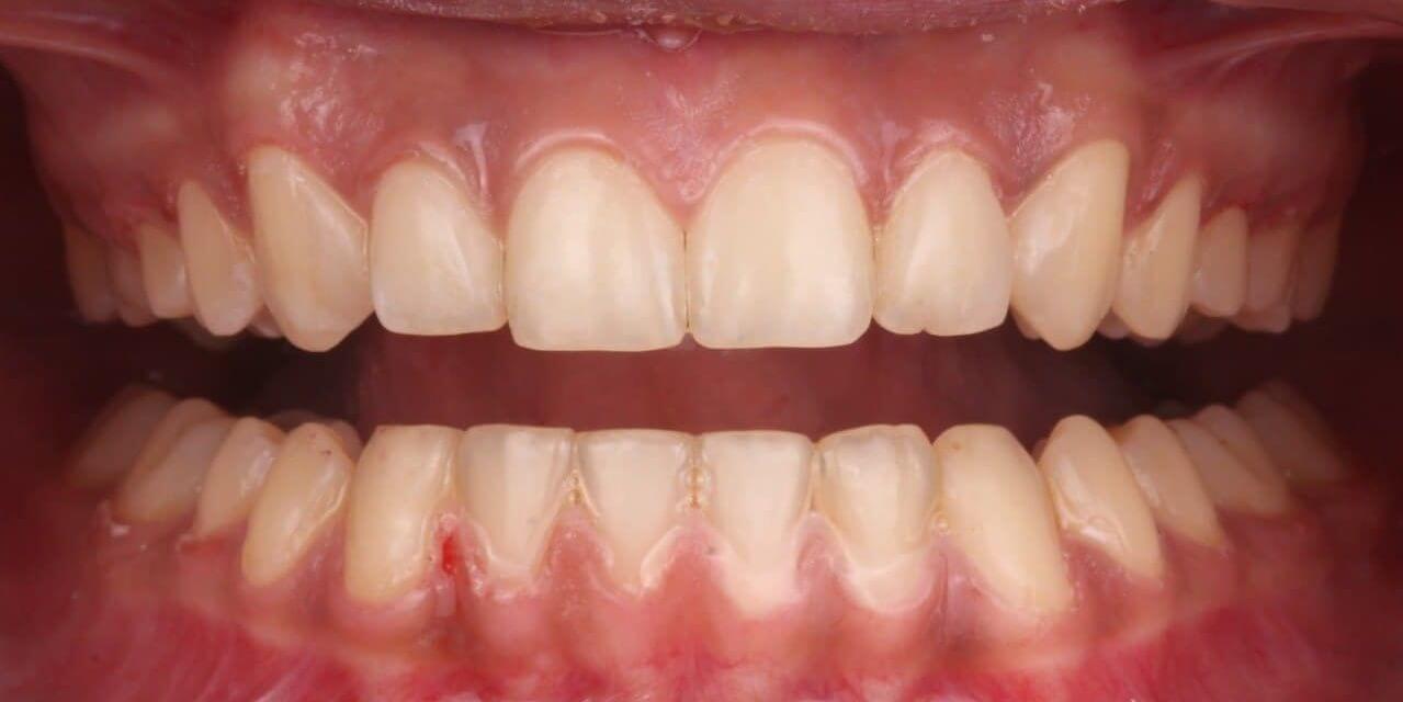
"до и после"
исправления прикуса
