Имплантация всех зубов в Минске
Бережно проведем Вас через все этапы лечения
Диагностика и подготовка
Комплексная диагностика
Изучение компьютерной томограммы, анализ состояния кости и мягких тканей, подбор и позиционирование имплантата, составление плана лечения.
Санация полости рта
Подготовим полость рта к размещению имплантатов. Остановим все воспалительные процессы в полости рта.
Имплантация и протезирование
Установка имплантов
Устанавливаем временную челюсть
Фиксация постоянной эстетичной конструкции
Безопасный и надежный способ восстановления утраченных зубов
Опытный хирург-имплантолог
Основатель и главный врач стоматологии «АнтоМед».
Стоматолог-хирург, имплантолог.
Доктор регулярно проходит обучение у ведущих мировых специалистов в области стоматологической хирургии и имплантологии.
Специализируется на сложных случаях, за которые не решаются браться во многих клиниках. Поэтому другие стоматологи нередко отправляют к нему своих пациентов.
Удалил свыше 5000 зубов, установил более 3000 имплантатов. Внимателен к деталям, учитывает все нюансы клинической ситуации и подробно описывает пациенту ход лечения.
Высокая квалификация и профессионализм доктора вместе с приветливостью и искренним вниманием к каждому человеку, который обращается за помощью, создали ему отменную репутацию как среди коллег, так и среди пациентов.
Имплантации всех зубов на 4-6 имплантатах
стоматолог - хирург - ортопед
Установим импланты с использованием проверенной местной анестезии
Поставим несъёмный протез, который не отличается от ваших зубов
Объективная цифровая диагностика
Пожизненная гарантия на импланты от производителя
Врачи международного уровня
Оптимальное соотношение цены и качества
Антонович Дмитрий Анатольевич
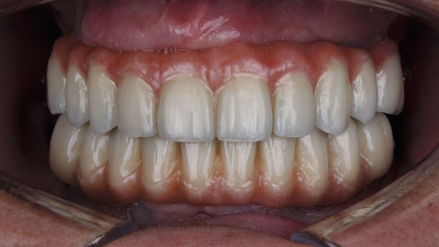
Новые прекрасные зубы
Нередко пациенты приходят к нам в клинику с проблемой полного отсутствия зубов. Еще много лет назад стоматологи могли предложить людям с полной адентией лишь съемный зубной протез.
В наше время процесс восстановления зубов значительно усовершенствовался с появлением протезирования на четырех имплантатах и протезирования на шести имплантатах.
Данная технология подразумевает установку четырех либо шести опор с последующей фиксацией на них протеза. Это самое надежное и долговечное решение при необходимости тотального восстановления зубов при полной адентии.
Павлющик Владимир Александрович
Имплантация всех зубов за один день поменяла жизни многих людей!
Сотни тысяч, пожилых и не очень, людей вернули зубы благодаря этой методике. Действительно, сейчас людей в возрасте с красивыми зубами можно увидеть гораздо чаще.
Если Вы понимаете, что вам этот вопрос интересен, предстоит эта процедура или вы ищите доктора для лечения родных, пожалуйста, читайте дальше. Мы поговорим о важных моментах, о которых Вам важно знать, делая свой выбор.
Методам имплантации всех зубов на 4-х и 6-ти имплантатах уже больше 20 лет, их можно считать проверенными и надежными.
Прародительницей данного вида протезирования является концепция лечения all-on-4 — «все на четырех», разработчиком которой является швейцарская компания Нобель Биокар.
И всё же давайте поговорим о самых чувствительных темах, которые вызывают вопросы.
И первый такой вопрос и, наверное, самый важный – это стоимость. Вероятно, вы догадываетесь, что качество лечения зависит от финансовых вложений клиники в операцию и, как следствие, стоимости для пациента.
Как вы видите, каждый момент направленный на повышение надежности и улучшение качества лечения, требует от доктора не только знаний и умений, но и материальных затрат. Можно ли провести имплантацию всех зубов без них? Можно, но боюсь результат вас расстроит, спустя уже несколько лет.
Все, кто интересуется вопросом имплантации, видит множество рекламных предложений по супернизкой цене. И возникает резонный вопрос, почему так отличается цена на имплантацию на сайтах разных клиник и что вас ждет, если вы обратитесь в клинику за решением по этой низкой цене. Ответ прост, я думаю, многие из вас догадываются, что клиники показывают самую низкую из возможных цен в расчёте, что смогут при личной встрече убедить вас на более дорогое и качественное лечение. Под угрозой потери гарантии Вам категорично предложат более дорогие импланты. Ссылаясь на ваш возраст, Вам объяснят, что 4 импланта для вас недостаточно и требуется установить 6 дентальных имплантов. И объяснят, что важно делать одномоментно не одну, а обе челюсти. Все это приведет к возращению стоимости в стандартные рамки. Только выбор вы сделаете не на основе своих объективных предпочтений, а за счет того, что вас поймали на маркетинговые уловки.
Мы хотим следовать другой парадигме отношений с пациентами - парадигме прозрачности и открытости. Мы не приемлем маркетинговых манипуляций в области здоровья. Поэтому записываем подробные видео и погружаем вас в нюансы и тонкости качественного лечения. Вкладываем время и силы в повышение компетенций пациентов, чтобы вы понимали, из чего складывается качественное лечение.
Мы действительно ушли в другое направление. Мы не ищем способы как еще снизить расходы клиники на операцию. Мы сфокусированы на поиске ответов на другие вопросы.
Какой временный протез зафиксировать, чтобы под ним не скапливалась еда, как сразу создать условия для формирования десны правильной формы?
Какой постоянный протез предложить вам, чтобы он прослужил вам всю жизнь без сколов, чтобы он был бы красив и выглядел естественно, чтобы на нем не скапливался налет и, учитывая возраст наших пациентов, был бы предельно прост в гигиене?
Мы нашли ответы на эти вопросы!
Собрали сложный пазл, обучаясь у лучших докторов со всего мира. И предлагаем нашим пациентам оптимальный протокол восстановления всех зубов за кратчайшие сроки с опорой на имплантаты по методике навигационной хирургии и полного цифрового планирования установки 4-6-ти имплантатов и изготовления временного протеза.
Мы готовы предложить такое решение Вам.
Ждем вас в клинике АнтоМед, мы подарим третью жизнь вашей улыбке.
Понимая ценность этих знаний, я предугадываю интерес наших коллег из других клиник к этому протоколу. Вы можете пригласить на операцию своего пациента и присутствовать на операции, получив ответы на интересующие вас вопросы.
Имплантации всех зубов на четырех имплантатах уже больше 40 лет: оно менялось, накапливался и анализировался мировой опыт. Оно адаптировалось и к более молодым, и к более возрастным пациентам. В действительности операция тотальной имплантации зубов для 40-летнего мужчины и для 70-летней женщины, это разные операции.
