Skip to main content
Ответим на все вопросы
и запишем на консультацию.





Имплантация зубов в Минске

Бережно проведем Вас через все
этапы имплантации зубов

Диагностика и подготовка

Комплексная диагностика

Изучение компьютерной томограммы, анализ состояния кости и мягких тканей, подбор и позиционирование имплантата, составление плана лечения.

Санация полости рта

Подготовим полость рта к размещению имплантата. Вылечим кариеса, остановим все воспалительные процессы.

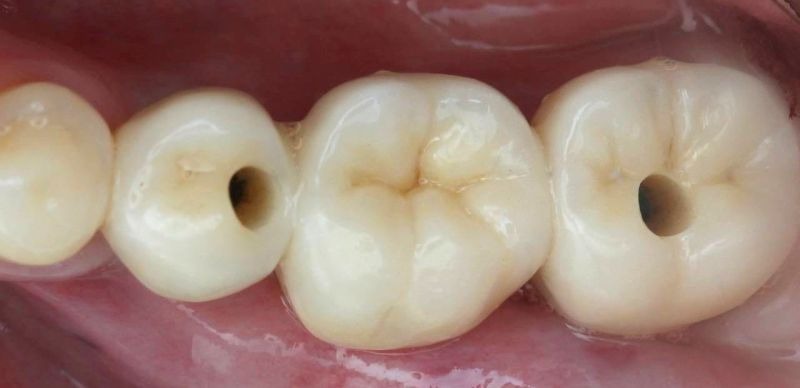
Имплантация и протезирование

Установка импланта

  • удаляем зубы, согласованные в плане лечения.
  • при необходимости проводим костную и десневую пластики
  • устанавливаем импланты

Установка формирователя десны

Устанавливаем формирователь десны на 2-3 недели, для того чтобы получить эстетичный десневой край для последующего протезирования.

Установка коронки

Устанавливаем индивидуальный абатмент, фиксируем коронку.


Опытный хирург-имплантолог

Антонович Дмитрий Анатольевич врач стоматолог - хирург - ортопед
Антонович Дмитрий Анатольевич

Основатель и главный врач стоматологии «АнтоМед».

Стоматолог-хирург, имплантолог.

Доктор регулярно проходит обучение у ведущих мировых специалистов в области стоматологической хирургии и имплантологии.

Специализируется на сложных случаях, за которые не решаются браться во многих клиниках. Поэтому другие стоматологи нередко отправляют к нему своих пациентов.

Удалил свыше 5000 зубов, установил более 3000 имплантатов. Внимателен к деталям, учитывает все нюансы клинической ситуации и подробно описывает пациенту ход лечения.

Высокая квалификация и профессионализм доктора вместе с приветливостью и искренним вниманием к каждому человеку, который обращается за помощью, создали ему отменную репутацию как среди коллег, так и среди пациентов.

Этапы дентальной имплантации «под ключ»

Антонович Дмитрий Анатольевич врач стоматолог - хирург - ортопед

Услуга включает в себя все необходимые процедуры и материалы

Антонович Дмитрий Анатольевич

хирург - имплантолог

Хирургический этап - установка имплантата MIS

осмотр

виртуальное позиционирование имплантатов

анестезия

установка имплантата по шаблону

назначения доктора

Ортопедический этап - установка коронки

сканирование или оттиск

определение цвета

проектирование коронки

производство

фиксация коронки

Антонович Дмитрий Анатольевич врач стоматолог - хирург - ортопед
Антонович Дмитрий Анатольевич
хирург - имплантолог

Как восстановить зубы

Имплантация зубов – самый надежный и долговечный способ восстановления зубов, который позволяет прекратить деформацию зубного ряда в области потерянного зуба, полностью реабилитировать жевательную функцию и добиться идеальной эстетики.

Классическая имплантация проходит в два этапа: сначала устанавливается имплантат, а затем, спустя некоторое время, фиксируется постоянная коронка.

Успешность операции зависит от учета многих факторов: объема костной ткани, уровня десны, хронических заболеваний пациента и многих других условий, требующих особого внимания.

Благодаря профессионализму наших хирургов, опыту и передовому оборудованию мы можем проводить имплантацию любой сложности. Приходите в нашу клинику – мы сможем восстановить любое количество зубов.


Гарантия на все случаи жизни

А что если?

— имплантат все-таки не приживется

(вероятность менее 1%)

— после имплантации возникнет воспаление

(вероятность менее 3%)

— в течение 2 лет после имплантации произойдет поломка коронки

(вероятность менее 3%)
Антонович Дмитрий Анатольевич врач стоматолог - хирург - ортопед

Мы переделаем свою работу совершенно бесплатно!

Антонович Дмитрий Анатольевич

хирург - имплантолог

Антонович Дмитрий Анатольевич врач стоматолог - хирург - ортопед

Уважаемые пациенты, мы знаем, что вам сложно принять решение об обращении к доктору.


Вы видите разные цены и не понимаете, на что они опираются и почему сильно отличаются от клиники к клинике. Вы хотите выбрать клинику и врача, дающего высокое качество лечения, и при этом не переплатить.

Стоимость имплантации напрямую зависит от компетенций и опыта хирурга, от его оснащения и навыков проведения сложных манипуляций.

Сейчас я коротко расскажу вам, как проводим операции мы - в клинике АнтоМед. Возможно, это поможет вам сделать правильный выбор.

Антонович Дмитрий Анатольевич

главный врач, стоматолог - хирург, имплантолог

Самая распространенная имплантация зуба

Первыми обычно мы теряем жевательные зубы. Это естественно, потому что первый зуб, который у нас появляется, шестой — жевательный зуб. Первым появляется и чаще всего мы его первым и теряем.

Итак, вот у нас в кресле пациент с треснувшим шестым зубом. И мы принимаем решение, как мы будем проводить имплантацию жевательного зуба.

Те, кто уже сталкивался, знают, что этот зуб обычно удаляется и пациент отпускается домой. Если он захочет предотвратить деформацию зубного ряда из-за отсутствия важного жевательного зуба, восстановить его, ему рекомендуют выждать около 4 месяцев, пока на месте удаленного зуба не зарастет лунка и не сформируется новая крепкая кость. Если после заживления толщины кости недостаточно, пациенту сделают открытый синус лифтинг. При этой операции делают окно в десне, приподнимают слизистую гайморовой пазухи и засыпают костный материал — через 6 месяцев он станет прочным продолжением кости пациента, в который можно установить дентальный имплантат.

Итак, давайте отмотаем назад и еще раз поговорим о сроках:

  • четыре месяца на заживление лунки,
  • шесть месяцев на увеличение объема кости,
  • непосредственно сама имплантация и 6 месяцев на интеграцию имплантата,
  • после этого 3 недели на формирование десны и установку коронки.

Итого: стандартный путь от удаления треснувшего зуба до фиксации коронки займет полтора года и четыре приема.

Антонович Дмитрий Анатольевич врач стоматолог - хирург - ортопед
А теперь давайте я расскажу, что может сделать для вас опытный хирург.
Антонович Дмитрий Анатольевич
главный врач, стоматолог - хирург, имплантолог
Первое, он совершенно по-другому будет удалять зуб.

Не обычным вывихивающим движением, как этому учат на стоматологических кафедрах. Он распилит зуб на несколько сегментов, предварительно изучив строение корней зуба по компьютерной томограмме и оценив их длину и направление. И далее он извлечет каждый сегмент аккуратно, сохраняя тонкую перегородку между корнями и стенки зубоальвеолярной связки, удерживающей зуб.

Для чего такая деликатность, зачем так усложнять работу? Дело в том, что, если нам удается сохранить перегородку между корнями, мы можем использовать специальный инструмент, позволяющий установить имплантат прямо в эту перегородку. Чаще всего она толщиной 1,5-2,5 мм. И хирург, имея навыки и специальный инструмент, может расслоить перегородку на две части и очень аккуратно, не порвав ее, разместить в ее центре имплантат. А если высоты кости недостаточно, то опытный хирург сразу после удаления корней увеличит ее объем, сделав синус лифтинг, но по другой — более щадящей и менее травматичной технологии. Он получит доступ ко дну гайморовой пазухи прямо через лунку только что удаленного зуба. Не травмируя десну, он зайдет снизу, а не сбоку через разрез. Снизу — прямо через лунку, создаст полость и заполнит ее костным материалом. Потом хирург заполнит свободные полости в лунке вокруг имплантата костным материалом и зашьет её. Это тоже не просто, потому что очень важно надежно укрыть имплантат и костный материал от бактерий слюны и при этом не допустить перенатяжения десны, иначе всю работу придется переделывать. Это риск, но оправданный, если ты знаешь, что справишься.

Если хирург справился с этой работой, то срок восстановления зуба с помощью имплантата сокращается с полутора лет, до полугода. И вот это мы называем хорошей работой хирурга имплантолога.

Мы стараемся сократить количество визитов пациента, и там, где биология нам это позволяет, объединить хирургические манипуляции в один прием. Это красивая с хирургической точки зрения операция: она сокращает время лечения, она облегчает восстановление, снижая травму и отек, она уменьшает количество визитов и приносит результат в виде нового зуба в три раза быстрее. Это не просто обычная имплантация, а хорошая работа опытного хирурга.

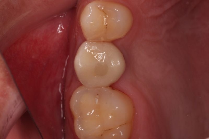
удаление с сохранением перегородки
распил зуба на сегменты
зафиксированная коронка
установленный имплантат
Поговорили о жевательных зубах, теперь давайте раскроем тонкости имплантации передних зубов.
Антонович Дмитрий Анатольевич врач стоматолог - хирург - ортопед
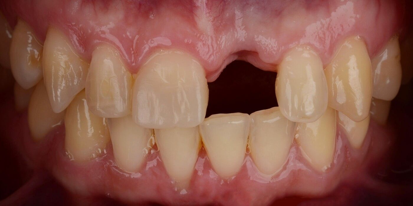
Травмы случаются, и мы получаем трещину или перелом зуба ниже уровня десны. Давайте обсудим, что в таком случае делают обычно, а что может сделать опытный хирург имплантолог.
Антонович Дмитрий Анатольевич
главный врач, стоматолог - хирург, имплантолог

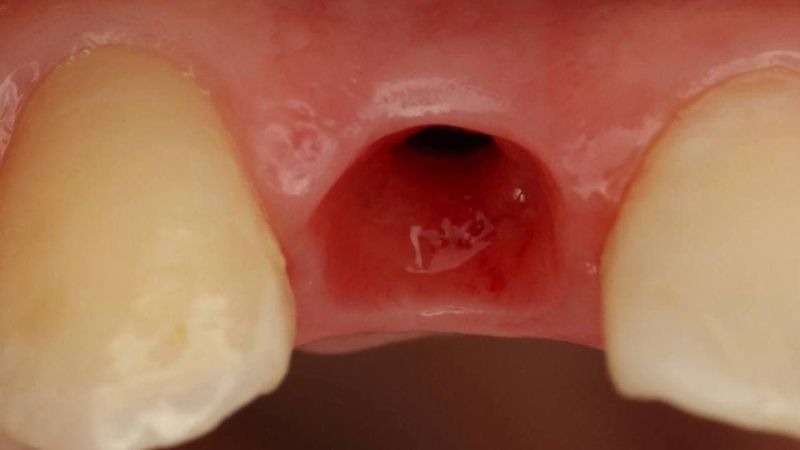
потерянный в результате
травмы передний зуб
зафиксированная коронка
на имплантате
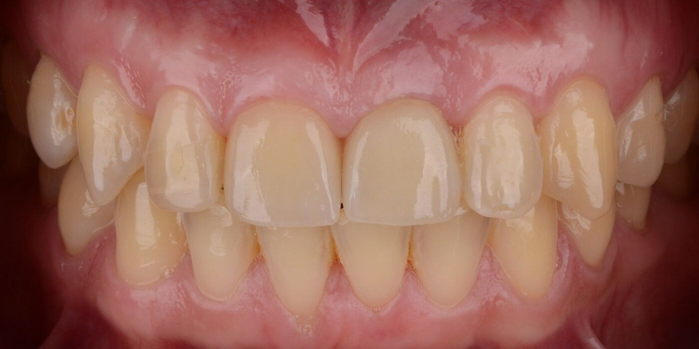
В переднем отделе зубов сильные доктора бьются за эстетику.

Иногда вы можете видеть между зубами черные точки — это место между зубами, которое должно было быть заполнено десневым сосочком, но его нет и это место становится черным треугольником. Здесь я должен рассказать вам немного об анатомии, чтобы вы понимали, в чем отличие зуба от имплантата и почему эта проблема, к сожалению, возникает у многих хирургов.

Наши зубы находятся в кости и рельеф этой кости создает рельеф десны. Там, где кость поднимается, поднимается и десна. Вокруг наших зубов костный гребень приподнимается, создавая так называемые костные пики и они в свою очередь приводят к подъему десны и формируют те самые сосочки. Но что происходит, когда мы удаляем зуб и устанавливаем имплантат? Костные пики уходят, уровень кости снижается и это закономерно приводит к снижению десны, а тот самый розовый сосочек, который раньше был между зубами, исчезает. Действительно, между имплантатами десна сглаживается и пропадает розовая эстетика, и вы видите те самые черные треугольники вокруг коронок на имплантатах.

Вот вы и узнали, почему при стандартной имплантации происходит ухудшение эстетики, а теперь давайте я раскрою тонкости нашей методики, которая позволяет нам сохранить эстетику, а иногда и вернуть ее.

Надо отметить, мы долго этому учились. Есть методики известных итальянских хирургов; есть разработанные протоколы, действительно хорошо себя показывающие, российских коллег. Мы разобрались во всех известных протоколах, выявили их сильные и слабые стороны и нашли, на наш взгляд, оптимальный путь.

Антонович Дмитрий Анатольевич врач стоматолог - хирург - ортопед
Вообще имплантация передних зубов - это, можно сказать, высшая лига, самая ответственная и сложная операция. Это, пожалуй, самый сложный протокол имплантации, который затрагивает все чувствительные аспекты.
Антонович Дмитрий Анатольевич
главный врач, стоматолог - хирург, имплантолог

И снова мы начинаем с удаления зуба, которое должно сохранить тонкую костную стенку с внешней стороны зуба.

Вообще имплантация передних зубов — это, можно сказать, высшая лига, самая ответственная и сложная операция. Это, пожалуй, самый сложный протокол имплантации, который затрагивает все чувствительные аспекты.

Ее толщина иногда может быть меньше миллиметра, и хирург обязан в первую очередь обеспечить ее сохранность в процессе удаления зуба, а также придать ей больший объем, чтобы предотвратить ее истончение. Когда стоял зуб, эта костная ткань питалась от десны и от связки, удерживающей зуб. А после того, как зуб удален, эта кость перестает получать питание и рассасывается. И наша задача в процессе удаления зуба и установки имплантата позаботиться об этой тонкой, но очень важной кости, сделать ее толще, предотвратив тем самым ее убыль.

Как я уже говорил раньше, уровень кости и уровень десны напрямую связаны, и обеспечивая стабильность кости, мы создаем условия для стабильности десны, а именно она и обеспечивает нам эстетику улыбки и отсутствие черных точек между коронками. Но обеспечить сохранность кости в зоне имплантации недостаточно, десна все равно будет утончаться, это естественный биологический процесс.

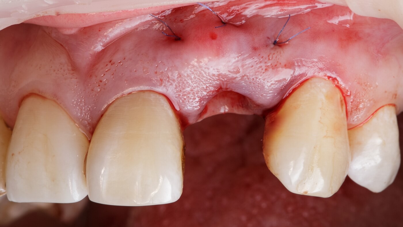
Поэтому мы приступаем к увеличению объема мягких тканей в области имплантации. Мы аккуратно забираем десну определенного типа с донорского участка и пришиваем к десне в области имплантата. Таким образом мы создаем большой объем десны, который после запланированной убыли станет нормальным. То есть мы через гипертрофию приходим к естественному объему.

Операция по увеличению объема десны в области имплантации зуба.
Подшитый десневой трансплантат взятый из донорской зоны в области имплантата.
Лунка удаленного зуба с установленным имплантатом, заполненная костным материалом и подшитым десневым трансплантатом.
Антонович Дмитрий Анатольевич врач стоматолог - хирург - ортопед
Ну что, теперь вы знаете об имплантации намного больше. И я надеюсь, теперь вы понимаете, что имплантация зуба - это не просто установка титанового винта в кость, а сразу 2, 3 или 4 хирургические манипуляции за один прием.
Антонович Дмитрий Анатольевич

главный врач, стоматолог - хирург, имплантолог

Если вы выбираете клинику, которая проведет операцию по имплантации зубов качественно, с фокусом на эстетику и создаст условия для максимально долгосрочного результата, мы ждем вас в нашей клинике АнтоМед.
Напишите нам!
Ответим на все вопросы
и запишем на консультацию.